インプラントの骨が足りないと言われたら|骨造成の種類と治療可能性の判断基準

「骨が足りない」と診断されても、治療を諦める必要はありません
インプラント治療を検討されている方の中には、歯科医院で「骨が足りないので治療は難しい」と診断され、不安を抱えている方も多いのではないでしょうか。
確かに、インプラントは顎の骨に人工歯根を埋め込む治療法ですので、十分な骨の量と質が必要です。しかし、「骨が足りない=インプラントは不可能」という考えは、必ずしも正しくありません。
現代の歯科医療では、「骨造成」という技術によって骨を増やすことが可能になっています。骨造成を行うことで、以前は治療が難しいとされていた症例でも、インプラント治療への道が開けるのです。
本記事では、日本口腔インプラント学会認定のインプラント専門医として、骨造成の主な種類や治療可能性の判断基準について、専門的な視点から詳しく解説していきます。

なぜ顎の骨が不足するのか・・・その原因を理解する
インプラント治療で骨が足りないと診断される背景には、いくつかの原因があります。
歯周病による骨の吸収
歯周病は、歯を支える骨を溶かす感染症です。
長期間放置すると、歯茎の退縮や骨の吸収が進行し、最終的には歯が抜け落ちる可能性があります。歯周病が重症化すると、歯周ポケットから細菌が骨にまで到達し、骨を溶かしてしまうのです。
歯を失ったまま放置した場合
歯は噛むことによる刺激によって骨を維持しています。しかし、歯がない状態が長期間続くと、刺激がないことによって骨が徐々に吸収されてしまいます。
時間が経てば経つほど、顎の骨の量は減少していきます。そのため、歯を失った場合は速やかに歯科医師の診察を受け、適切な治療を受けることが重要です。
入れ歯やブリッジの長期使用
入れ歯やブリッジは、天然歯よりも噛む力が弱く、顎の骨まで適度な刺激が伝わりません。そのため、長期間使用していると骨が痩せてしまう可能性があります。
加齢による骨密度の低下
年齢を重ねるにつれて、骨の再生能力が低下し、骨密度が減る傾向にあります。これは顎の骨にも当てはまります。特に咀嚼などの日常的な機能が低下すると、顎の骨は刺激を受けにくくなり、骨の吸収が進むのです。

骨造成の主な種類・・・それぞれの特徴と適応症
骨造成にはいくつかの方法があり、骨の状態や部位によって最適な方法が異なります。
GBR法(骨誘導再生療法)
**GBR法**は、顎の骨の高さ・幅ともに不足している場合に採用される施術法です。
インプラントを埋入した後、自分の骨(自家骨)や骨補填剤を注入し、メンブレンと呼ばれる特殊な膜で覆うことで顎の骨を再生させるスペースを確保します。骨造成と共にインプラント埋入を行うため、治療期間はおおよそ4~6カ月ほどです。
この方法は、インプラントを十分固定できない場合に有効で、骨が再生された後、上部構造を装着します。
ソケットリフト法
**ソケットリフト法**は、上顎の奥歯部分の骨に十分な高さがない場合に適用される施術法です。
上顎の大臼歯の上部から奥には上顎洞(サイナス)と呼ばれる空洞が広がっており、サイナスと上顎骨の間にはシュナイダー膜と呼ばれる粘膜が存在しています。歯周病などで歯を失ったり、骨が吸収されたりすると、サイナスまでの距離が短くなります。
ソケットリフト法では、上顎の人工歯根を埋め込む箇所に穴を開け、専用の器具を使ってシュナイダー膜を押し上げてから骨補填剤を注入し、骨の再生を行います。骨造成とインプラントの埋入を同時に行えるため、治療期間はおよそ4カ月程度で済みます。
もともとインプラントを埋入するための穴から骨補填剤を入れるので、傷口が小さく、痛みや腫れも最小限に抑えられるところが利点です。
サイナスリフト法
**サイナスリフト法**は、上顎の臼歯部分の骨の高さが3~5mmに満たない場合に採用される施術法です。
頬側の歯肉を切開し、骨造成のためのスペースを造ってから、骨補填剤を入れて縫合します。しばらく経って骨が安定したら、インプラントを埋入する施術を実施します。
骨補填剤の注入とインプラントの埋入を同時に行うソケットリフト法に比べると、骨造成→インプラント埋入の2ステップが必要になるサイナスリフト法は治療期間が長期におよびやすい傾向があります。
骨造成が必要かどうか・・・治療可能性の判断基準
骨造成が必要かどうかは、精密な検査によって判断されます。
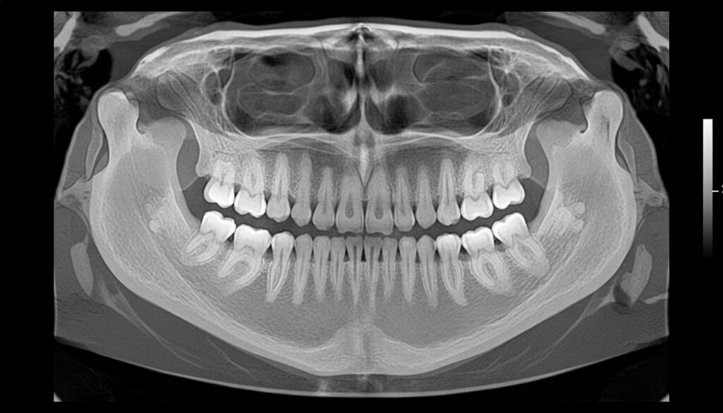
CT診断による骨の量と質の評価
**歯科用CT**は、3D情報で神経・血管位置を把握し、インプラント等のリスク低減に活用されます。
CT撮影によって、骨の高さ、幅、密度などを正確に測定することができます。この情報をもとに、インプラントを安全に埋入できるかどうか、骨造成が必要かどうかを判断します。
骨の高さと幅の基準
一般的に、インプラントを安定させるためには、骨の高さが10mm以上、幅が6mm以上必要とされています。
これらの基準に満たない場合、骨造成を検討することになります。ただし、ショートインプラントなどの選択肢もあり、骨造成が不要なケースも存在します。
全身状態の評価
骨造成やインプラント治療を行う際には、全身状態の評価も重要です。
重度の糖尿病や骨粗しょう症の治療薬を長期間使用している場合、心疾患や出血傾向のある病気がある場合などは、慎重な判断が必要になります。内科との連携や病状の安定により条件付きで実施できることもあるので、しっかりと相談することが大切です。
喫煙習慣の影響
タバコを吸っていると、傷の治りが遅くなり、血流が悪くなり、骨との結合がうまくいかない可能性があります。
そのため、喫煙習慣がある方は、治療前に禁煙することが推奨されます。禁煙の意志がある方に対しては、治療を前向きに考えられる場合もあります。

最新の低侵襲技術・・・患者様の負担を軽減する取り組み
近年、骨造成やインプラント治療において、患者様の負担を軽減する低侵襲技術が進歩しています。
サージカルガイドの活用
**サージカルガイド**は、CT画像をもとに作製される手術用のテンプレートです。
これを使用することで、インプラントを正確な位置・角度・深さに埋入することができます。手術の精度が向上し、手術時間の短縮や術後の腫れ・痛みの軽減につながります。
口腔内スキャナーによる精密診断
**口腔内スキャナー**は、3Dデータを取得し、歯型採得の負担を軽減します。
従来の型取りに比べて、患者様の不快感が少なく、より正確なデータを取得することができます。このデータをもとに、治療計画の立案や補綴物の作製を行います。
マイクロスコープを用いた精密治療
**マイクロスコープ**は、拡大視野で精密治療に活用されます。
細部まで確認しながら治療を行うことで、より安全で正確な手術が可能になります。特に骨造成やインプラント埋入の際には、神経や血管を傷つけるリスクを最小限に抑えることができます。
骨造成治療の流れと治癒期間・・・何を期待できるのか
骨造成治療の流れと治癒期間について、具体的に説明します。
初診・カウンセリング
まず、カウンセリングで悩みや希望を確認し、検査・診断を行った上で治療提案を行います。
初回ではレントゲン撮影・歯周病検査・口腔内写真などを実施し、痛みや欠け等がある場合は応急処置を行います。CT撮影によって、骨の状態を詳細に評価します。
骨造成手術
骨造成の方法によって手術内容は異なりますが、一般的には局所麻酔下で行われます。
GBR法では、インプラント埋入と同時に骨補填剤を注入し、メンブレンで覆います。ソケットリフト法では、インプラントを埋入する穴から骨補填剤を注入します。サイナスリフト法では、歯肉を切開して骨補填剤を入れます。
治癒期間
骨造成の治癒期間は、方法によって異なります。
GBR法やソケットリフト法では、おおよそ4~6カ月ほどです。サイナスリフト法では、骨造成後に骨が安定するまで待ち、その後インプラントを埋入するため、10カ月~1年程度かかることがあります。
インプラント埋入(サイナスリフト法の場合)
サイナスリフト法の場合、骨が安定したら、インプラントを埋入する施術を実施します。
インプラントが骨と結合するまで、さらに数カ月の治癒期間が必要です。
上部構造の装着
インプラントが骨としっかり結合したら、上部構造(人工歯)を装着します。
これで治療は完了となりますが、その後も定期的なメインテナンスが重要です。

治療後のメインテナンス・・・長期的な成功のために
インプラント治療が成功した後も、長期的に維持するためには定期的なメインテナンスが不可欠です。
定期的なプロフェッショナルケア
再治療リスクを下げるために、定期メインテナンス(プロのクリーニングとチェック)を推奨しています。
バイオフィルム除去に特化したメンテナンスを行うことで、インプラント周囲炎などのトラブルを予防します。
セルフケアの重要性
ご自宅でのセルフケアも非常に重要です。
インプラント専用の清掃器具を使用し、正しいブラッシング方法を実践することで、口腔内環境を良好に保つことができます。
噛み合わせのチェック
噛み合わせの変化にも注意を払う必要があります。
噛み合わせが悪いと、インプラントに過度な負担がかかり、破損や脱落の原因になることがあります。定期的に噛み合わせをチェックし、必要に応じて調整を行います。
シャングリラデンタル横浜歯科矯正歯科の取り組み
当院では、包括的審美治療を掲げ、精密な検査・診断を前提に、機能面と見た目の両面から理想の口元を目指す治療計画を立案しています。
インプラント専門医による治療
私は日本口腔インプラント学会認定のインプラント専門医として、難症例や他院トラブルのリカバリー経験を含め、科学的根拠に基づく治療提供を心がけています。
初診の診査診断から治療、フォローアップまでを一貫して担当・管理する方針です。
最新設備による精密診断
当院では、**マイクロスコープ**、**歯科用CT**、**口腔内スキャナー**、**3Dプリンター**など、最新設備を導入しています。
これらの設備を活用することで、精密な診断と治療が可能になります。
プライバシーに配慮した診療環境
完全予約制を採用し、診療は個室または半個室で行う方針です。
カウンセリングも専用スペースで実施し、患者様が安心して治療を受けられる環境を整えています。
複数の治療オプションの提示
治療の選択肢を一つに絞って押し付けるのではなく、複数の治療オプションを提示し、患者様が自分に合うものを選べる考え方を示しています。
骨造成が必要な場合も、GBR法、ソケットリフト法、サイナスリフト法など、患者様の骨の状態や希望に応じて最適な方法を提案します。
まとめ・・・「骨が足りない」をあきらめないで
インプラント治療で「骨が足りない」と診断されても、骨造成という選択肢があります。
GBR法、ソケットリフト法、サイナスリフト法など、骨の状態や部位によって最適な方法を選択することで、インプラント治療への道が開けます。
治療可能性の判断には、CT診断による骨の量と質の評価、全身状態の評価、喫煙習慣の影響などを総合的に考慮します。最新の低侵襲技術を活用することで、患者様の負担を軽減しながら、安全で正確な治療を行うことが可能です。
他院で「骨が足りないから無理」と言われた方も、まずはご相談ください。
当院では、精密な検査と診断をもとに、患者様一人ひとりに最適な治療計画を提案しています。不安や疑問を解消するために、丁寧なカウンセリングを実施しています。
シャングリラデンタル横浜歯科矯正歯科は、横浜・みなとみらいエリアに位置し、みなとみらい線「高島駅」から徒歩1分とアクセスも良好です。自費診療専門の歯科医院として、包括的審美治療を提供しています。
インプラント治療をご検討の方、骨が足りないと診断された方は、ぜひ一度当院にご相談ください。あなたの理想の口元を実現するために、全力でサポートいたします。
お問い合わせ・ご予約
電話:045-211-4618
診療時間:10:00~19:00
休診日:不定休(祝日は休診)
住所:〒220-0012 神奈川県横浜市西区みなとみらい5丁目1番2号 横浜シンフォステージ ウエストタワー3F
あなたの笑顔と健康な口元のために、私たちがお手伝いいたします。

著者情報
理事長 梶原 基弘NORIHIRO KAJIWARA
- 経歴
- 九州歯科大学口腔インプラント科医員 外来診療チーム長
- 九州歯科大学口腔再建リハビリテーション学分野(口腔インプラント学)大学院歯学博士
- 関東医療法人 東京都、神奈川県にて院長に
- 資格・所属学会
- 日本口腔インプラント学会
- JSOI 日本口腔インプラント学会専門医
- 九州歯科大学歯学博士
投稿論文
- Soft tissue biological response to zirconia and metal implant abutments compared with natural tooth: microcirculation monitoring as a novel bioindicator. Kajiwara N, Masaki C, Mukaibo T, Kondo Y, Nakamoto T, Hosokawa R.Implant Dent. 2015 Feb;24(1):37-41.
- Comparison of plaque accumulation and soft-tissue blood flow with the use of full-arch implant-supported fixed prostheses with mucosal surfaces of different materials: a randomized clinical study. Kanao M, Nakamoto T, Kajiwara N, Kondo Y, Masaki C, Hosokawa R.Clin Oral Implants Res. 2013 Oct;24(10):1137-43.
Two-dimensional real-time blood flow and temperature of soft tissue around maxillary anterior implants. Nakamoto T, Kanao M, Kondo Y, Kajiwara N, Masaki C, Takahashi T, Hosokawa R.Implant Dent. 2012 Dec;21(6):522-7.
