インプラント治療完全ガイド|費用から素材選びまで

インプラント治療とは?基本知識と特徴
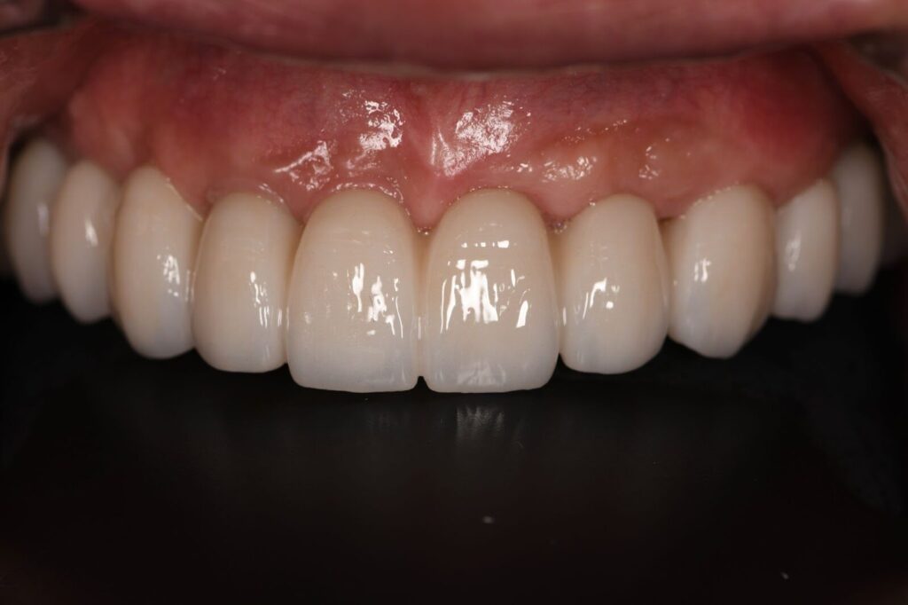
インプラント治療は、失った歯の機能と見た目を回復させる治療法です。チタン製の人工歯根を顎の骨に埋め込み、その上に人工の歯を装着します。
天然歯のように噛める、見た目が自然、周囲の歯を削る必要がない—これらがインプラント治療の大きな魅力です。
インプラント治療は、単に歯を補うだけでなく、顎の骨の吸収を防ぎ、お口全体の健康維持にも貢献します。入れ歯やブリッジと比較すると、長期的な安定性や使用感において優れた選択肢といえるでしょう。
しかし、外科手術を伴うため、全身状態や口腔内環境によっては治療が難しいケースもあります。また、保険適用外の自費診療となるため、費用面での検討も必要です。
インプラント治療を検討する際は、歯科医師との十分な相談を通じて、ご自身に最適な選択をすることが大切です。
インプラント治療の費用相場と内訳
インプラント治療の費用は気になるポイントです。一般的に1本あたりの費用相場は30万円〜60万円程度となっています。
地域や歯科医院によって差がありますが、都市部ではやや高めの傾向があります。特に東京では13万円台から60万円まで、医院によって幅広い価格設定があることがわかっています。
インプラント治療の費用内訳は主に以下の項目で構成されています。
- 検査・診断料:15,000〜50,000円
- インプラントの手術費用:100,000〜385,000円
- 上部構造(人工歯・被せ物):50,000〜200,000円
- 術後の消毒・検診代:1,500〜10,000円
特に上部構造(被せ物)の素材によって費用が大きく変わります。ハイブリッドレジン、メタルボンド、ジルコニアなど、素材によって耐久性や審美性、価格が異なるため、ご自身の優先事項に合わせて選ぶことが重要です。
また、骨の量が不足している場合には骨造成という追加手術が必要になることもあり、その場合は費用が上乗せされます。
費用面でも計画的に考えることが大切ですね。
インプラントの素材選びのポイント
インプラント治療では、使用する素材によって見た目や耐久性、費用が大きく変わります。インプラントは大きく分けて3つのパーツで構成されており、それぞれに適した素材があります。

まず、歯根部(インプラント=フィクスチャー)は顎の骨に埋め込む部分で、主にチタン製が使われます。チタンは生体親和性が高く、骨と結合しやすい特性を持っています。
次に、支台部(アバットメント)はインプラント体と人工歯をつなぐ部分です。チタンが主な素材として使われます。
最後に、上部構造(人工歯)は見た目の美しさと噛み合わせの機能性が求められる部分です。素材選びで特に重要なのがこのパーツです。
人工歯(上部構造)の主な素材と特徴

- セラミック:天然歯に近い見た目で審美性が高く、変色の心配も少ないですが、衝撃に弱いという特徴があります。費用は1本8〜18万円程度です。
- ジルコニア:「人工ダイヤモンド」とも呼ばれる硬さを持ち、審美性と耐久性を兼ね備えていますが、対合する天然歯を摩耗させる可能性があります。費用は10〜20万円程度です。
- ハイブリッドレジン:セラミックとレジンを混ぜ合わせた素材で、比較的安価ですが、長期使用による変色や摩耗が起こりやすいです。
- メタルボンド:内側が金属、外側がセラミックの二重構造で、比較的安価ですが経年劣化しやすいという特徴がありま
- す。
素材選びは、設置部位(前歯か奥歯か)、噛む力の強さ、審美性の重要度、予算などを考慮して決定することが大切です。特に前歯は見た目が重視されるため、セラミックやジルコニアが選ばれることが多いです。
歯科医師と相談しながら、ご自身のライフスタイルや優先事項に合った素材を選ぶことをおすすめします。
インプラント治療の流れと期間

インプラント治療は一日で終わるものではなく、複数のステップを経て完了します。全体の流れを理解しておくことで、心の準備もしやすくなるでしょう。
標準的なインプラント治療の流れは以下のようになります。
1. 検査・診断・治療計画
まず、レントゲンやCTスキャンなどで顎の骨の状態や神経の位置を詳しく調べます。これにより、インプラントを埋め込む位置や角度を正確に計画します。
この段階で、骨の量が不足している場合は骨造成が必要かどうかも判断します。また、全身の健康状態もチェックし、インプラント治療が可能かどうかを見極めます。
2. 一次手術(インプラント体の埋入)
局所麻酔を行い、歯肉を切開して顎の骨を露出させます。そこに人工歯根となるインプラント体を埋め込みます。手術後は歯肉を縫合し、インプラント体が骨と結合するのを待ちます。
この骨結合(オッセオインテグレーション)には通常、上顎で4〜6ヶ月、下顎で2〜3ヶ月程度かかります。
3. 二次手術(アバットメントの連結)
インプラント体と骨の結合が確認できたら、二次手術を行います。歯肉を再度切開し、インプラント体の上にアバットメントと呼ばれる連結部を取り付けます。
この手術は一次手術より小規模で、回復も早いのが特徴です。
4. 上部構造(人工歯)の製作・装着
歯型を取り、それをもとに人工歯を製作します。完成した人工歯はアバットメントに装着され、噛み合わせなどを調整して治療完了となります。
全体の治療期間は、骨の状態や治療内容によって異なりますが、一般的には3〜6ヶ月程度かかります。骨造成が必要な場合は、さらに期間が延びることがあります。
なお、最近では抜歯後すぐにインプラントを埋入する「即時埋入」など、治療期間を短縮する方法も増えています。ただし、これらは全てのケースで適用できるわけではないため、歯科医師との相談が必要です。
インプラント治療の適応症と禁忌症
インプラント治療は多くの方に適していますが、全ての人に向いているわけではありません。治療を検討する前に、適応症と禁忌症について理解しておくことが大切です。
インプラント治療に適している方
- 歯を1本以上失っている方
- 入れ歯やブリッジに不満がある方
- 顎の骨の量が十分ある方
- 全身の健康状態が良好な方
- 口腔内の衛生状態が良好な方
- 喫煙習慣がない、または禁煙できる方
特に、天然歯のような噛み心地や見た目を求める方には、インプラント治療がおすすめです。また、入れ歯の不快感や違和感に悩んでいる方にとっても、固定式のインプラントは大きなメリットとなります。
インプラント治療が難しい方(禁忌症)
- 重度の全身疾患(コントロール不良の糖尿病、重度の心疾患など)がある方
- 骨粗しょう症の薬(ビスフォスフォネート製剤)を長期間服用している方
- 顎の骨の量が著しく不足している方
- 重度の歯周病がコントロールできていない方
- 強い歯ぎしりや食いしばりがある方
- 妊娠中の方(出産後に治療を検討)
- 成長期の子ども(顎の成長が完了していないため)
ただし、骨の量が不足している場合でも、骨造成術によってインプラント治療が可能になることがあります。また、全身疾患があっても、主治医と歯科医師が連携し、状態が安定していれば治療できるケースもあります。
「インプラント治療は難しい」と他院で診断された方も、あきらめずにインプラント専門医に相談してみることをおすすめします。例えば、シャングリラデンタル横浜歯科矯正歯科では、骨造成や、オールオン4などの高度な治療にも対応しています。
インプラント治療を受けるかどうかの判断は、歯科医師による詳細な検査と診断に基づいて行われます。不安な点があれば、遠慮なく相談してください。
インプラント治療のメリット・デメリット
インプラント治療には様々なメリットがありますが、同時にデメリットも存在します。治療を検討する際は、両面をしっかり理解した上で判断することが大切です。
インプラント治療の主なメリット
- 天然歯に近い噛み心地:顎の骨にしっかり固定されるため、安定した噛み心地が得られます。
- 審美性に優れている:特に前歯のインプラントは、天然歯と見分けがつかないほど自然な見た目を実現できます。
- 周囲の健全な歯を削らない:ブリッジと違い、隣の歯を支台として削る必要がありません。
- 顎の骨の吸収を防ぐ:歯を失うと顎の骨が徐々に痩せていきますが、インプラントはこれを防ぎます。
- 入れ歯のような違和感がない:固定式のため、取り外しの手間や違和感がありません。
- 長期的な安定性:適切なケアを行えば、10年以上使用できるケースも多いです。
インプラント治療の主なデメリット
- 外科手術が必要:局所麻酔下での手術となるため、ある程度の侵襲性があります。
- 治療期間が長い:標準的な治療では、完了までに3〜6ヶ月程度かかります。
- 費用が高額:1本あたり30〜55万円程度と、保険適用外の自費診療となります。
- 定期的なメンテナンスが必要:長持ちさせるためには、定期的な検診とケアが欠かせません。
- 合併症のリスク:インプラント周囲炎などの合併症が起こる可能性があります。
- 全ての人に適応するわけではない:全身疾患や顎の骨の状態によっては、治療が難しい場合があります。
インプラント治療は、長期的に見れば費用対効果の高い治療法といえますが、初期投資が大きいことは事実です。また、治療後も定期的なメンテナンスが必要なため、継続的な通院の意思があるかどうかも重要なポイントです。
メリットとデメリットを比較検討した上で、ご自身のライフスタイルや価値観に合った選択をすることをおすすめします。不安な点があれば、カウンセリングの際に歯科医師に相談してみてください。
インプラント治療後のケアとメンテナンス

インプラント治療の成功は、手術だけでなく、その後のケアとメンテナンスにも大きく左右されます。せっかく入れたインプラントを長持ちさせるためには、日々のセルフケアと定期的な歯科医院でのメンテナンスが欠かせません。
日常のセルフケアのポイント
- 丁寧な歯磨き:インプラント周囲は特に丁寧に磨きましょう。歯ブラシは柔らかめのものを選び、強くこすらないようにします。
- デンタルフロスや歯間ブラシの使用:歯ブラシだけでは取り除けない汚れを清掃するために、フロスや歯間ブラシを活用しましょう。
- 洗口液の使用:歯科医師に推奨された洗口液を使用すると、細菌の繁殖を抑える効果が期待できます。
- 喫煙を避ける:喫煙はインプラント周囲炎のリスクを高めるため、できるだけ避けましょう。
- 硬いものを噛まない:氷や固いナッツなど、過度に硬いものを噛むとインプラントに負担がかかります。
インプラントは虫歯にはなりませんが、周囲の歯肉や骨に炎症が起きる「インプラント周囲炎」のリスクがあります。これを予防するためには、天然歯以上に丁寧なケアが必要です。
定期的なメンテナンスの重要性
インプラント治療後は、3〜6ヶ月に一度の定期検診をお勧めします。定期検診では以下のようなチェックと処置が行われます。
- インプラント周囲の歯肉の状態確認
- レントゲン撮影による骨の状態確認
- インプラントの緩みや咬み合わせのチェック
- 専門的なクリーニング
- セルフケア方法の指導
定期的なメンテナンスを受けることで、問題を早期に発見し、対処することができます。小さな異常も放置すると大きなトラブルにつながる可能性があるため、「痛みがないから大丈夫」と自己判断せず、定期的に歯科医院を受診しましょう。
シャングリラデンタル横浜歯科矯正歯科では、インプラント治療後のアフターケアも重視しており、患者さん一人ひとりに合ったメンテナンスプランを提供しています。また、長期的なメンテナンスのコスト面で心配な方向けに、連携クリニックである「OCEAN DENTAL OFFICE MINATOMIRAI」で保険の範囲内でアフターケアを受けられるオプションも用意されています。
インプラントは適切なケアを続けることで、10年以上、場合によっては一生使い続けることも可能です。日々のセルフケアと定期的なプロフェッショナルケアを組み合わせて、インプラントを長持ちさせましょう。
インプラント専門医の選び方
インプラント治療の成功には、歯科医師の技術と経験が大きく影響します。どのような基準で歯科医院や歯科医師を選べばよいのでしょうか。
まず重要なのは、インプラント治療の専門的な知識と技術を持った歯科医師を選ぶことです。日本口腔インプラント学会の専門医や指導医の資格を持つ歯科医師は、学会において治療技術・知識・実績を認められた証です。
信頼できるインプラント専門医の条件
- 専門資格の有無:日本口腔インプラント学会の専門医・指導医などの資格を持っているか
- 治療実績:これまでに多くのインプラント治療を手がけた経験があるか
- 設備の充実度:CT撮影装置など、精密な診断に必要な設備が整っているか
- カウンセリングの丁寧さ:治療内容や費用について分かりやすく説明してくれるか
- アフターケア体制:治療後のメンテナンスやトラブル対応の体制が整っているか
また、インプラント治療は長期的な関係を築く治療です。相談しやすい雰囲気があり、質問にも丁寧に答えてくれる歯科医師を選ぶことも大切です。
歯科医院選びのチェックポイント
実際に歯科医院を選ぶ際には、以下のポイントもチェックしてみましょう。
- 無料相談・セカンドオピニオンの有無:治療前に相談できる機会があるか
- 治療計画の明確さ:治療の流れや期間、費用が明確に示されるか
- 症例写真の公開:過去の治療例が確認できるか
- 保証制度の有無:治療後のトラブルに対する保証はあるか
- 分割払いなどの支払い方法:費用面での相談に応じてくれるか
例えば、シャングリラデンタル横浜歯科矯正歯科では、日本口腔インプラント学会認定のインプラント専門医による治療を受けることができます。また、60分の無料カウンセリングやセカンドオピニオンにも対応しており、治療後のアフターケアも充実しています。
「インプラント治療は難しい」と他院で診断された方も、諦めずに専門医に相談してみることをおすすめします。骨造成やオールオン4などの高度な治療に対応できる歯科医院であれば、治療の可能性が広がるかもしれません。
インプラント治療は決して安い買い物ではありません。だからこそ、信頼できる歯科医師を慎重に選び、納得のいく治療を受けることが大切です。
まとめ:インプラント治療で理想の口元を手に入れるために
インプラント治療は、失った歯の機能と審美性を回復させる優れた治療法です。この記事では、インプラント治療の基本知識から費用、素材選び、治療の流れ、アフターケアまで幅広く解説してきました。
インプラント治療の主なポイントをまとめると:
- インプラント1本あたりの費用相場は30万円〜60万円程度
- 上部構造(被せ物)の素材によって、見た目や耐久性、費用が変わる
- 治療完了までには一般的に3〜6ヶ月程度かかる
- 全身疾患や顎の骨の状態によっては治療が難しい場合もある
- 治療後は定期的なメンテナンスが不可欠
- 信頼できる専門医を選ぶことが成功の鍵
インプラント治療は初期費用こそ高額ですが、適切なケアを続ければ長期間使用できるため、長い目で見れば費用対効果の高い選択肢といえるでしょう。
治療を検討する際は、複数の歯科医院でカウンセリングを受け、ご自身に最適な治療計画を立てることをおすすめします。特に無料カウンセリングやセカンドオピニオンを活用して、不安や疑問を解消しておくことが大切です。
シャングリラデンタル横浜歯科矯正歯科では、日本口腔インプラント学会認定のインプラント専門医による高度な治療と、患者様一人ひとりに合わせたカスタマイズ治療を提供しています。60分の無料カウンセリングも実施していますので、インプラント治療にご興味のある方はぜひご相談ください。
理想の口元を手に入れるための第一歩として、まずは専門医に相談してみませんか?詳細はシャングリラデンタル横浜歯科矯正歯科の公式サイトをご覧ください。
理事長 梶原 基弘NORIHIRO KAJIWARA
- 経歴
- 九州歯科大学口腔インプラント科医員 外来診療チーム長
- 九州歯科大学口腔再建リハビリテーション学分野(口腔インプラント学)大学院歯学博士
- 関東医療法人 東京都、神奈川県にて院長に
- 資格・所属学会
- 日本口腔インプラント学会
- JSOI 日本口腔インプラント学会専門医
- 九州歯科大学歯学博士
投稿論文
- Soft tissue biological response to zirconia and metal implant abutments compared with natural tooth: microcirculation monitoring as a novel bioindicator. Kajiwara N, Masaki C, Mukaibo T, Kondo Y, Nakamoto T, Hosokawa R.Implant Dent. 2015 Feb;24(1):37-41.
- Comparison of plaque accumulation and soft-tissue blood flow with the use of full-arch implant-supported fixed prostheses with mucosal surfaces of different materials: a randomized clinical study. Kanao M, Nakamoto T, Kajiwara N, Kondo Y, Masaki C, Hosokawa R.Clin Oral Implants Res. 2013 Oct;24(10):1137-43.
- Two-dimensional real-time blood flow and temperature of soft tissue around maxillary anterior implants. Nakamoto T, Kanao M, Kondo Y, Kajiwara N, Masaki C, Takahashi T, Hosokawa R.Implant Dent. 2012 Dec;21(6):522-7.
